La ortodoncia es la especialidad odontológica que tiene como finalidad el estudio, prevención, diagnóstico y tratamiento de las anomalías de: posición de piezas dentarias, relaciones máxilo-mandibulares, disfunción, malos hábitos,etc
Con el objetivo de prevenir y corregir las alteraciones que puedan existir, se ejercen fuerzas controladas sobre las piezas dentarias, de manera de ubicarlas en una posición armónica, estable y funcional.
Desde temprana edad se pueden aplicar diversas técnicas mediante aparatos fijos y/o removibles, que permitan mejorar la condición dentoesqueletal del paciente.
¿Cuándo se necesita Ortodoncia?
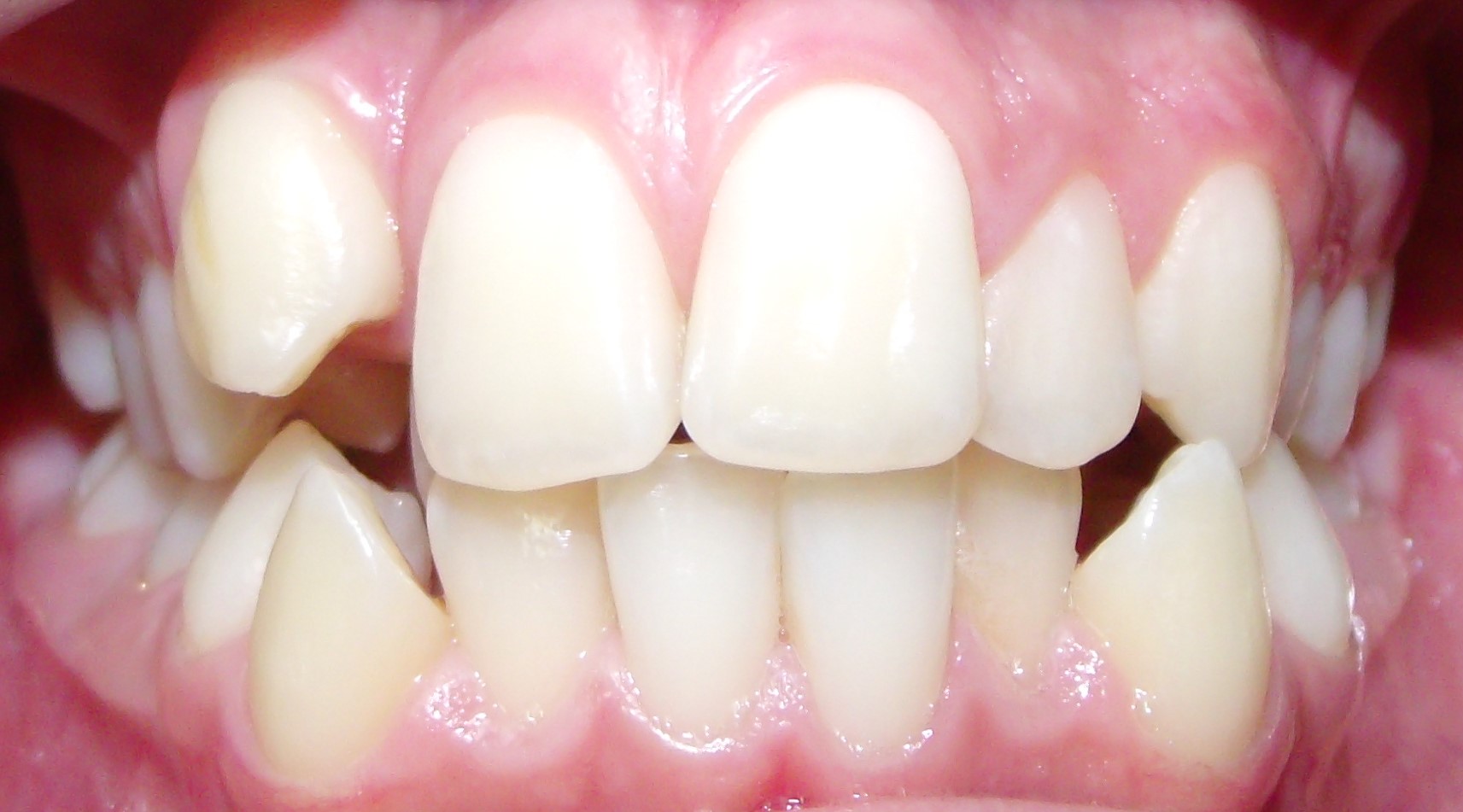
Cuando se presentan alteraciones estéticas y/o funcionales del aparato bucomaxilofacial como:
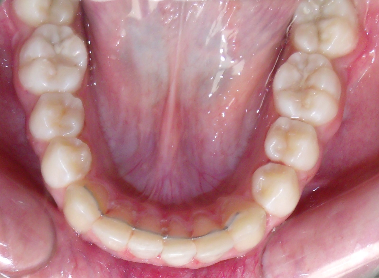
- Apiñamiento dentario (dientes chuecos)
- Falta de espacio para la erupción completa de los dientes
- Espacios o vanos desdentados por ausencia o pérdida de piezas dentarias
- Alteraciones en la mordida, que pueden presentar síntomas de disfunción como dolor de cabeza, dolor de cuello, rigidez y aumento de volumen en los músculos de la cara, ruidos en la articulación témporomandibular, etc.
- Malos hábitos como: Respiración bucal, succión de dedo, interposición de la lengua al tragar o hablar, morder objetos, etc.
- Bruxismo
- Alteraciones genéticas del tamaño maxilar o mandibular
En DentalGolf realizamos las siguientes técnicas:
- Ortodoncia tradicional (vestibular) con frenillos metálicos y estéticos (cerámicos y cristal zafiro)
- Ortodoncia lingual con frenillos que van en la cara interna de los dientes
- Ortodoncia invisible o con alineadores, que realizan movimientos programados en las piezas dentarias, de acuerdo a un esquema creado, que permite moverlas mediante una serie de plaquitas invisibles que se cambian cada dos semanas, sin necesidad de instalar frenillos. Este tratamiento necesita que las plaquitas estén en boca prácticamente por 22 horas al día. Estamos certificados en diferentes sistemas.


